• 康贝佳首页
  • 欢迎来到康贝佳官方网站,专注口腔健康,笑出精彩人生!咨询热线:400-025-0505
  • 关于我们:

当前位置: 首页 > 牙齿治疗

牙齿治疗

Dental implants

咨询电话:
400-025-0505

QQ咨询 在线咨询
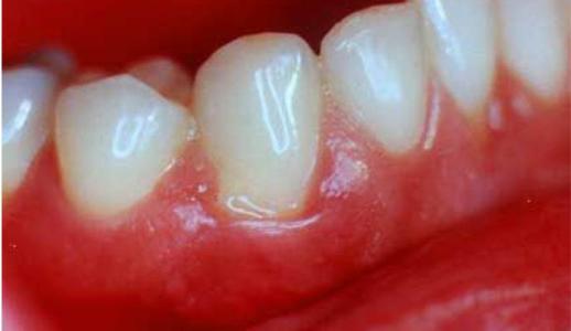
牙龈出血是牙周病的早期信号吗?
来源:康贝佳口腔 发布时间:2019-06-28 11:13
  刷牙出血是生活中很常见的一种牙齿问题,但是因为感觉不到牙痛症状,所以很多人对此都不太在意。但是值得提醒的是,健康的牙龈在刷牙的时候是不 会出现出血症状的,通常这种现象很有可能是牙周所致,如果不及时治疗的话,则会出现“老掉牙”的问题。那么,牙龈出血是牙周病的早期信号吗?

 
牙龈出血是牙周病的早期信号吗?
 
  牙龈出血是牙周病的早期信号吗?
 
  康贝佳口腔医生介绍说,患有牙周病时,牙龈内大量的新生血管充血扩张,牙龈变为暗红色,质地变得松软,受到刷牙或是咀嚼等刺激时,牙龈就会出 血,但一般能自行止住。
 
  牙周病的发展很隐匿,早期是隐藏性进展,所以很多人都不放在心上。但牙周病不能自愈,等到出现疼痛、肿胀等症状时,已多属于晚期。早期牙龈炎 症不及时治疗,牙周韧带受到侵袭,支持牙齿的牙槽骨被破坏和吸收,还会出现口臭、牙龈溢脓,甚至会导致牙齿的松动和脱落。
 
  牙龈出血该怎么治
 
  首先,应尽快到医院检查,把病变控制在早期。
 
  其次,检查自己的牙刷刷毛是否过硬,并更换软毛的保健牙刷。相关阅读:牙周病到底是怎么慢慢形成的?
 
  然后,刷牙时更要认真仔细,以清除引起牙周病的菌斑。
 
  以上就是康贝佳口腔关于“牙龈出血是牙周病的早期信号吗?”的介绍了,如果你还有疑问,欢迎咨询我们,我院专家将真诚为您提供优质的服务。