• 康贝佳首页
  • 欢迎来到康贝佳官方网站,专注口腔健康,笑出精彩人生!咨询热线:400-025-0505
  • 关于我们:

当前位置: 首页 > 补牙

补牙

Dental implants

咨询电话:
400-025-0505

QQ咨询 在线咨询
堵牙用什么材料
来源:康贝佳口腔 发布时间:2019-04-18 17:47
  随着人们生活条件的提高,人们牙齿疼痛不再是苦苦的忍着了,而是选择治疗,部分的患牙经过检查是需要拔除的。而牙齿拔完就要补,那补牙用什么材料好呢?
 
堵牙用什么材料
 
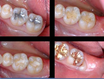
  1、银汞合金
 
  银汞合金的主要成分是金属银和汞,配其他少量金属的一种材料。用银汞合金修复牙体时应保持一定的体积,才能承受牙合力而不致折断;由于银汞合金与牙体组织不具备粘结性,应制备盒状洞,设计良好的固位形,使二者贴合紧密、相互嵌合,良好隔湿,才能使银汞合金修复牙体牢固持久。
 
  2、玻璃离子聚合粘固粉
 
  玻璃离子是一种对牙髓刺激轻,对牙体硬组织有粘结性,但强度较银汞合金低的多用途材料。优势在于颜色较好,与牙齿有一定的粘结性,有利于保护牙髓组织,防止继发龋齿;但是缺点是耐磨性不好,不会保留很长的时间。
 
  3、复合树脂
 
  复合树脂是在有机的合成树脂内加大量的经特殊处理的无机物的充填材料,它借助于牙齿表面处理技术,使之粘结于牙体硬组织,多用于III类洞、V类洞的充填;也有高强度的复合树脂可用于后牙I类、II类洞的充填。光敏固化复合树脂,其色泽稳定,粘结性强,特别适宜前牙美齿修复;化学固化复合树脂,操作简便,虽有轻度色泽改变,用于后牙及前牙舌侧洞也是适宜的。
 
  4、磷酸锌粘固粉
  磷酸锌粘固粉又称恒久粘固粉、锌水门汀。作深洞双层垫底的上层承力材料,半年以内的窝洞封闭材料,也用于牙体修复的冠、桥修复。
 
  能够补牙的材料还是挺多的,最好是了解下补牙的过程和应当注意的事项。那么,如何补牙?
 
  补牙的过程:
  一、窝洞制备。在补牙前需要对龋坏牙体进行窝洞的制作,窝洞制备窝洞由洞壁、 洞缘、洞角构成。 制备窝洞的3大原则是:
 
  1、建立良好的固位形和抗力形,以免充填体折断 、脱落和不密合而造成继发龋;

  2、除净病变组织,否则会造成继发龋;
 
  3、保护牙髓和健康 牙齿组织。
 
  二、充填补牙材料。隔离唾液,消毒窝洞,调配充填材料填入窝洞中,雕刻外形, 要注意除去超过咬合面过高的部分,以免造成医源性的咬合创伤。
 
  医师指出:补牙 料的选用充填材料应当具有无毒、耐磨、有抗压强度、充填后体积 不改变、与窝洞密合、不被唾液腐蚀或溶解、操作简便及色泽美观等性能。
 
  三、清除残渣。进行补牙材料填充后,牙科医师会对牙面进行抛光及对附着在牙体周围的残渣进行清理。